안녕하세요.
오늘 반가운 얼굴을 만나고 왔더니, 기분이 많이 좋더라구요.
자주 볼 수 있다면 좋겠지만, 시국이 시국인지라 이렇게 한번이라도 볼 수 있다는 점이 아쉽긴 하지만 그래도 볼 수 있다는 점에서 다행인것 같기도 해요.
얼마전에 희소식을 들었어요. 코로나완치 된 사례가 기사로 나왔더라구요.
지금 전 세계적으로 문제가 되고있기에 얼마나 반갑던지.. 그에 사용된 치료법은 혈장치료라고 하던데요.
영화에서 소재로도 사용이 되었다고 하던데, 저한텐 너무 생소해서 궁금함이 커지더라구요.
저와 같은 분들이 계실거라 생각해서 이 포스팅을 준비해봤어요.
- 코로나 완치 된 혈장치료 알아볼까요 -
- 혈장치료 편 -


세브란스병원 최준용교수와 김신영교수 팀을 중심으로 이번에 코로나 감염으로 급성호흡곤란 증후군을 동반한 중증 폐렴이 생긴 환자 2명에게 혈장치료를 진행을 했는데요.
혈장치료는 완치된 환자의 피에서 혈장을 분리하고 수혈하는 치료법이더라구요.
이 치료법은 개발되지 않은 신종 감염병을 치료하기 위한 목적으로 시도되는 치료법인데, 예전 메르스때도 이와같은 치료법을 사용했다고 합니다.


혈장이란, 혈액에서 적혈구, 백혈구, 혈소판을 제외한 액체부분을 말한답니다. 세균, 바이러스가 체내에 침입하면 공격적 항원이 만들어지는데, 우리의 신체는 이에 대응하기 위해 항체를 만들어 냅니다.
혈장에서 이러한 항체를 만들고, 완치자는 이러한 항체를 가지고 있기에 코로나 바이러스에 대응하기 위해 진행이 되었다고 볼 수 있어요.
세브란스병원 최준용교수는 혈장치료에 나름의 부작용이 있고 대규모 임상시험이 없어 코로나의 치료법이 될 수 있다는 과학적인 증거는 충분하지 않지만, 항바이러스 치료에 효과가 없는 중증환자들에게 스테로이드 치료와 병행하면 나름의 대안 방법이 될 수 있다고 말을 전했답니다.
- 코로나 완치 된 혈장치료 알아볼까요 -
- 코로나완치 사례 1 -


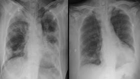
혈장치료 첫번째 완치사례는 71세 남성분이에요. 이 분은 열과 기침 증상을 보이다가 코로나판정을 받았는데요. 이후 병원에서 다양한 바이러스제 치료를 받았지만, 폐렴증상이 호전되지 않아 세브란스 병원으로 옮겨졌답니다.
당시 호흡속도는 정상인보다 높았으며, 흉부검사에서도 양쪽 폐 모두 심각한 증상을 보였기에 세브란스병원에서는 기계호흡을 시작했다고해요.
항바이러스제와 항생제를 지속적으로 투여했지만, 상태는 더 악화되었다고 의료진들은 설명을했답니다.
이에 혈장치료를 시도하게 되는데요. 완치자의 혈장을 2회용량으로 나누어 12시간 간격으로 환자에게 투여하고 스테로이드 치료를 병행하게 됩니다.
완치자의 상태는 감염 후 열, 기침, 폐렴과 같은 증상을 가지고 있었지만, 혈장을 채취취할 당시에는 완치판정을 받아 아무런 증상을 가지고 있지 않은 상태였어요.
치료결과 이틀후부터 산소요구량 감소, CRP(C-반응성단백질)수치가 떨어졌으며 기계호흡을 끊고 자발적인 호흡을 회복하고 음성판정을 받고 완치가 되었답니다.
- 코로나완치사례 2 -

두번째 완치사례는 67세 여성분이에요. 이 분은 고열과 근육통으로 진단을 받은 후 3일째부터 호흡곤란으로 산소요구량이 많아지면서 왼쪽 폐 상태가 나빠져 세브란스병원으로 이송되었답니다.
이송당시 호흡속도는 정상인보다 조금 높았으나, 산소포화도는 정상인보다 낮아서 호흡곤란증세가 심각했다고 해요.
의료진은 역시 말라리아와 에이즈치료제를 투여하고 산소 수치를 높이기 위해 치료를 해보았지만, 림프구감소증과 고열은 멈추지 않았답니다.
첫번째 완치사례와 마찬가지로 이 여성분에게도 혈장을 12시간 간격으로 2번에 걸쳐 투여를 하게되고, 그 결과 림프구수가 회복하고 바이러스 농도가 감소했다고 해요.
흉부검사에서도 폐의 침윤이 좋아지고 CRP 역시 정상수준으로 회복을 하게 되면서 완치판정을 받고 퇴원을 하게 되었답니다.
위에서 언급했듯, 최준용교수는 혈장치료가 나름의 부작용이 있지만, 나름의 대안이 될 수 있다고 얘기를 했으며, 완치자들로부터 혈장을 충분히 확보하기 위해 혈장 기증자들을 효율적으로 관리하고 이를 바탕으로 혈장을 확보할 수 있는 시스템이 구축되야 한다며 혈장기증자를 모집하고 혈장을 확보해서 배분할 수 있는 컨트롤 타워가 필요하다고 전했답니다.
아직까지 딱히 부작용이 발견되지 않았기에 기대감 커질 수 밖에 없는 듯 해요.
전 세계적으로 문제가 되고 있고, 많은 분들이 불안에 떨고 있기 때문에, 이 치료법을 통해 하루빨리 공포에서 벗어날 수 있으면 좋겠습니다.
생소한 분들에게 조금이나마 도움이 되는 정보였으면 좋겠어요.
다들 사회적 거리두기 잘 실천하시고 우리 코로나 조심해요.
'생활, 팁 정보 추천 같이알아요 > 정보통통' 카테고리의 다른 글
| 런닝맨 전소민 악플, 무슨 일 일까요? (6) | 2020.04.17 |
|---|---|
| 중국 광둥성 새우바이러스 대유행, 무서운 새우 치사율 (0) | 2020.04.13 |
| 드라마 부부의세계 김희애 옷 , 지선우와 그 패션을 봐볼까요 (0) | 2020.04.11 |
| 소지섭 결혼 그리고 나이와 키, 혼인신고 조은정 (0) | 2020.04.08 |
| 배구선수 김연경 코로나 확산으로 터키에서 한국행 언제? (0) | 2020.03.31 |
댓글